Susana Sanmartino Hospital Universitario Central de Asturias (HUCA), Servicio de Radiología Intervencionista
▷ Introducción
Los pseudoaneurismas de la arteria hepática (PAH) pueden surgir tras traumatismos, inflamación, procedimientos quirúrgicos e intervencionistas y trasplante hepático. Se diagnostican cada vez con mayor frecuencia en la práctica clínica, posiblemente debido al incremento de procedimientos diagnósticos y terapéuticos biliares, así como al desarrollo de las técnicas diagnósticas de imagen.
El PAH suele ser asintomático si no hay rotura, hemorragia o infección. La hemobilia es el síntoma más común del PAH, y la tríada clásica de Quincke incluye dolor abdominal superior, ictericia y hemobilia (que a menudo se manifiesta como hemorragia gastrointestinal) solo se presenta en aproximadamente un tercio de los pacientes.
En los últimos años, gracias al desarrollo de técnicas mínimamente invasivas, el PAH se trata principalmente mediante métodos intervencionistas, como la embolización arterial transcatéter (EAT) y la colocación de stents recubiertos endovasculares, reservándose la cirugía únicamente como última opción.

▷ Caso clínico
Presentamos el caso de una mujer Mujer de 66 años ingresada en hospital comarcal por dolor abdominal y alteración de PFH.
Por sospecha en pruebas de imagen de colangiocarcinoma perihiliar grado IV según la clasificación de Bismuth-Corlette, se realiza PAAF por ecoendoscopia.
A las pocas horas presenta dolor abdominal intenso focalizado en el flanco derecho, hipotensión y anemización (Hb 8 g/dl) que requirió trasfusión.
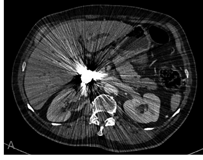
Ante la sospecha de sangrado se realiza angio TC (Fig.1).
En el angio TC se observa un pseudoaneurisma (PAH) de la arteria hepática derecha, voluminoso hematoma en hipocondrio derecho y hemoperitoneo.
Se traslada a nuestro hospital para tratamiento endovascular urgente en radiología vascular intervencionista.
▷ Técnica de embolización
Se traslada a la paciente a la sala de angiografía, a cargo del servicio de UCI.
Se realiza abordaje percutáno femoral común derecho.
Se coloca introductor Flexor® 6F (Cook Medical) de 55 cm que se avanza sobre catéter Simmons 1 4F en AMS hasta arteria hepática derecha (AHD).
En las arteriografías (Fig.2) se confirman los hallazgos conocidos por el angio TC, pseudoaneurisma dependiente de AHD, de unos 25 mm, a nivel del tercio medio del tronco principal.
Con la intención de preservar la permeabilidad de la AHD se decide realizar embolización del saco mediante coils y teniendo en cuenta la morfología del cuello para evitar la protrusión de los coils se decide realizar una técnica asistida por balón (Remodeling).
Se avanzan en paralelo un Catéter balón ECLIPSE de 2 luces de 6x15mm (BALT EXTRUSION SAS), y un microcatéter Progreat 2,7Fr (TERUMO EUROPE).
El catéter balón se avanza distal al cuello del pseudoaneurisma y el microcatéter se introduce en el interior del PAH (Fig. 3). Se comienza a rellenar el PAH mediante coils, (Fig.4), se colocan 3 AZUR Framing coil (TERUMO EUROPE) como andamiaje y se rellena con 6 Packing Coil (020″) (Penumbra)( 5 de 60cm y 1 de 45cm), cuando se están introduciendo los últimos coils para evitar que protruyan hacia la arteria hepática se procede al inflado de forma cuidadosa del balón centrado en la región del cuello del PAH.
Se finaliza (Fig.5) cuando se considera que el PAH está adecuadamente embolizado, se prodece al desinflado y retirada del catéter balón y microcatéter, confirmado en la arteriografía final que se ha trombosado adecuadamente el PAH con preservación del flujo en la arteria hepática derecha.


▷ Evolución
La paciente evolucionó favorablemente con mejoría hemodinámica inmediatamente post embolización y con resolución progresiva del dolor, y mejoría de los parámetros analíticos, fue dada de alta a los pocos días, continuando cuidados relacionados con su enfermedad en su hospital de referencia.
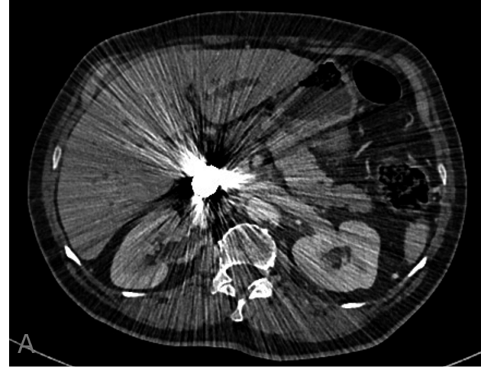
Se le realizaron estudios de imagen de control. En TC de control al año (Fig.6) se visualizan los coils, que no se han modificado, y que condicionan artefacto metálico que dificulta la valoración, el pseudoaneurisma permanece embolizado y la arteria hepática derecha permeable, se observa además progresión de su enfermedad basal, por crecimiento del colangiocarcinoma y dilatación de la vía biliar intrahepática.

▷ Discusión
El pseudoaneurisma de la arteria hepática se considera una emergencia aguda que requiere intervención inmediata y agresiva La incidencia de muerte por hemorragia tras la rotura es de aproximadamente el 43 %.
El tratamiento intraarterial de los pseudoaneurismas se basa en la exclusión endovascular del flujo que puede lograrse con coils, stents y líquidos inyectables. Las técnicas incluyen la embolización con coils (“técnica de sándwich” o “empaquetado de saco”), exclusión del flujo con stents cubiertos y embolización con coils asistida por stent o por balón (BACE. Balloon-Assisted Coil Embolization). El manejo suele depender de la ubicación y la viabilidad técnica de la reparación endovascular. La “técnica en sándwich” se utiliza a menudo cuando hay flujo colateral. Para preservar el flujo en la arteria, cuando se trata de vasos viscerales principales puede colocarse un stent cubierto o realizar el empaquetado del saco .
En este caso valorando la anatomía y la morfología se consideró viable técnicamente y se prefirió una técnica que preservase el flujo en la arteria hepática derecha, aunque se trata de un territorio con colaterales se evitan complicaciones secundarias a isquemia hepática.
Se prefirió realizar la embolización del saco con coils al stent cubierto debido a poca disponibilidad de stents cubiertos del calibre adecuado, y a la necesidad de doble antiagregación posterior, y se tuvo en cuenta además la situación clínica que requería rapidez en la embolización. Y para mayor seguridad se prefirió una técnica asistida en este caso mediante balón (BACE) o “técnica remodeling”.
La “técnica remodeling” adaptada de neurorradiología intervencionista, se refiere al uso de un balón de remodelado (“balloon remodeling”) durante la embolización con coils, especialmente en aneurismas con cuello ancho o localización compleja. El procedimiento consiste en posicionar un balón temporalmente en el cuello del aneurisma, inflándolo durante la colocación de los coils para evitar su protrusión hacia la arteria principal y preservar la permeabilidad del vaso implicado. Una vez finalizada la embolización, el balón se desinfla y se retira, permitiendo el flujo arterial normal.
Dentro de las complicaciones de la ETA de PAH está el riesgo de rotura de la arteria hepática durante la embolización con coils, riesgo de oclusión de vasos no diana, necrosis isquémica hepática, hemorragia, formación de abscesos y estenosis biliar por isquemia.
La embolización no selectiva de gran área puede conllevar riesgo de insuficiencia hepática.
En el seguimiento por TC el material metálico de los coils impide la adecuada valoración lo que es un inconveniente para el seguimiento posterior, sin embargo la versatilidad de los coils y su extendida disponibilidad hace que sean un material de embolización muy empleado en caso de emergencias.
▷ Conclusión
La EAT es la mejor opción para el tratamiento del pseudoaneurisma de la arteria hepática. En comparación con la cirugía, la terapia intervencionista es menos invasiva, más segura y presenta una mayor tasa de éxito.
La “técnica de remodeling” es segura y eficaz en el tratamiento de pseudoaneurismas de la arteria hepática(PAH) y permite mantener el flujo permeable en la arteria implicada.
Los coils son un material de embolización muy extendido, muy efectivos en la urgencia y con las técnicas asistidas se incrementa el éxito técnico.
▷ Bibliografía
- Uchiyama D, Koganemaru M, Abe T, Hirose Y, Hayabuchi N, Akashi H. Coil embolization of splenic artery aneurysm with preservation of the parent artery using a neck remodeling technique. J Vasc Interv Radiol. 2007 Mar;18(3):447-50. doi: 10.1016/j.jvir.2006.12.727. PMID: 17377193.
- Murray TÉ, Brennan P, Maingard JT, Chandra RV, Little DM, Brooks DM, Kok HK, Asadi H, Lee MJ. Treatment of Visceral Artery Aneurysms Using Novel Neurointerventional Devices and Techniques. J Vasc Interv Radiol. 2019 Sep;30(9):1407-1417. doi: 10.1016/j.jvir.2018.12.733. Epub 2019 Apr 26. PMID: 31036460.
- Chaer RA, Abularrage CJ, Coleman DM, Eslami MH, Kashyap VS, Rockman C, Murad MH. The Society for Vascular Surgery clinical practice guidelines on the management of visceral aneurysms. J Vasc Surg. 2020 Jul;72(1S):3S-39S. doi: 10.1016/j.jvs.2020.01.039. Epub 2020 Mar 20. PMID: 32201007.
- Pomatto S, Pini R, Faggioli G, Poliseno C, Shyti B, Gargiulo M. A Dedicated Algorithm for Endovascular Approach as a First-Line Treatment Option for Visceral Artery Aneurysms. Ann Vasc Surg. 2025 Jan;110(Pt A):197-204. doi: 10.1016/j.avsg.2024.07.115. Epub 2024 Oct 1. PMID: 39362466.
- Jesinger RA, Thoreson AA, Lamba R. Abdominal and pelvic aneurysms and pseudoaneurysms: imaging review with clinical, radiologic, and treatment correlation. Radiographics. 2013 May;33(3):E71-96. doi: 10.1148/rg.333115036. PMID: 23674782.
- Nagaraja R, Govindasamy M, Varma V, Yadav A, Mehta N, Kumaran V, Gupta A, Nundy S. Hepatic artery pseudoaneurysms: a single-center experience. Ann Vasc Surg. 2013 Aug;27(6):743-9. doi: 10.1016/j.avsg.2012.08.018. Epub 2013 May 24. PMID: 23711970.
- Zhao YQ, Yang YY, Yao SY, Dong XF. Hepatic artery pseudoaneurysm: three case reports and literature review. Front Med (Lausanne). 2024 Jul 10;11:1422895. doi: 10.3389/fmed.2024.1422895. PMID: 39050537; PMCID: PMC11266017.
- Machado NO, Al-Zadjali A, Kakaria AK, Younus S, Rahim MA, Al-Sukaiti R. Hepatic or Cystic Artery Pseudoaneurysms Following a Laparoscopic Cholecystectomy: Literature review of aetiopathogenesis, presentation, diagnosis and management. Sultan Qaboos Univ Med J. 2017 May;17(2):e135-e146. doi: 10.18295/squmj.2016.17.02.002. Epub 2017 Jun 20. PMID: 28690884; PMCID: PMC5488813.
- Nelson PK, Levy DI. Balloon-assisted coil embolization of wide-necked aneurysms of the internal carotid artery: medium-term angiographic and clinical follow-up in 22 patients. AJNR Am J Neuroradiol. 2001 Jan;22(1):19-26. PMID: 11158882; PMCID: PMC7975543.
- Moret J, Cognard C, Weill A, Castaings L, Rey A. The “Remodelling Technique” in the Treatment of Wide Neck Intracranial Aneurysms. Angiographic Results and Clinical Follow-up in 56 Cases. Interv Neuroradiol. 1997 Mar 30;3(1):21-35. doi: 10.1177/159101999700300103. Epub 2001 May 15. PMID: 20678369.


